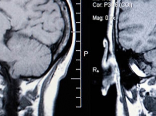
(RxWiki News) Many head and neck cancers, including nasal, can't be operated on because of where they are located. Some are too close to the brain. That's why radiation therapy is often used to treat these cancers.
A specific kind of radiation called hypofractionated stereotactic body radiotherapy (SBRT) destroys nasal and other oral cancer tumors.
However, researchers say caution is needed because this procedure can have extremely dangerous long-term consequences known as late effects.
"Learn all you can about your cancer therapy."
These are the findings of Korean researchers in a small study led by Dong S. Lee of the Yonsei Cancer Center in Seoul.
SBRT is a very precise technique that pinpoints the tumor without harming healthy nearby tissue. Dosing of this and all radiation treatments is key to success.
Dr. Lee and his team worked with 26 patients who had oral cancer tumors that couldn't be treated with surgery. The study was conducted between March 2004 and July 2007.
These individuals were given what's known as boost treatments using SBRT. A boost treatment is the final, intense radiation treatment.
This therapy was used for tumors located inside and near the nasal cavity and around the sinuses, throat, tongue and other sites.
All of the patients had received traditional radiation called external beam radiotherapy (EBRT). Study participants were followed a median (middle) of 56 months.
The patients responded very well to the therapy. Tumors disappeared in 21 people. But while the response was great, the late effects were terrible. The deaths of two people were linked to the SBRT boost.
Researchers noted that hypofractionated SBRT is considered a safe therapy, but add that it "should be employed with caution in selected patients due to its potentially hazardous effects in head and neck regions."
This study was published in the July issue of Radiation Oncology.
Funding information was not provided; no authors had competing interests.





